
국내에서 생산된 효과가 입증된
정품 미백제만을 사용하여 안전하고
믿을 수 있습니다.
개인의 치아 상태와 치아색을
고려하여 충분한 상담 후
프로그램을 진행합니다.
미백제와 특수광선의 양을 개인에 따라
조절하여 시술하여 시린이 증상, 잇몸 자극없이
빠르고 안전하게 치료합니다.
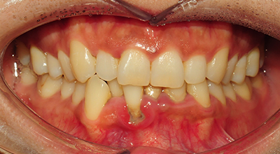
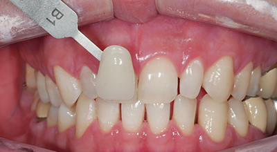
40대 여성
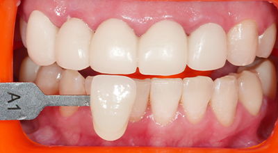
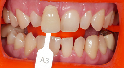
20대 여성
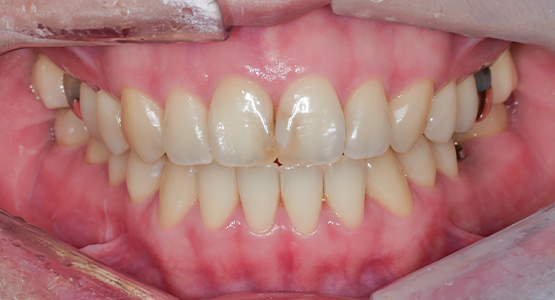
30대 남성
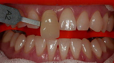
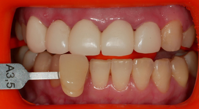
30대 여성