치아교정

YONSEI YOU&I ORTHODONTICS

연세유앤아이 치아교정 특별함

연세유앤아이만의 치아교정의 특별함

상담부터 진단, 치료까지 나에게 꼭 맞는 맞춤 교정프로그램을 경험하세요!

사람마다 치아 형태나 얼굴 형태 등이 다르기 때문에 나만을 위한 정확한 치료를 위해 정밀한 치료계획으로 개인별 치열상태, 구강구조를 고려하여 치료방법을 제시합니다.
가벼운 교정치료부터 고난도의 교정치료까지 교정과정에서 생길 수 있는 문제들을 최소화하기 위해서 연세유앤아이는 언제나 환자의 안전을 우선으로 치료합니다.
01

시작부터 끝까지 전문적인 연세유앤아이 교정
남다를 수밖에 없는 이유

원장님, 저 치료 잘되고 있나요?

치아가 잘 움직이고 있는건가? 어떤 변화가 있는 건가? 첫 상담 때들은 대로 잘 진행되고 있는 건가?

의술의 전문성을 바탕으로 한 환자와의 진솔한 소통, 그것이 만족스러운 치료결과를 위한 첫걸음이라 생각합니다. 오늘 한 진료가 무엇 때문에 한 것인지 모르면 불안감과 염려가 들 수 밖에 없으니까요.

본인이 받고 있는 교정치료에 대한 이해가 높아질 때 치료의 만족도가 높아진다고 생각합니다.

02

진솔한 소통과 함께 하는 연세유앤아이

  • 01

    교정 전

    1. 교정 시작 전 현재 불편한 점, 개선을 원하는 점 등을 경청.

    2. 교정적으로 치료가 필요한 부분과 더불어 환자의 니즈를 정확히 파악하고 치료계획에 최대한 반영.

  • 02

    교정 시작

    1. 교정 시작 시 원하는 교정장치, 치료기간 단축 등 환자 편의와 선호도를 치료에 반영.

    2. 교정치료 과정에서 발생할 수 있는 불편함, 부작용, 구강관리법 등을 상세히 설명

  • 03

    교정 중

    1. 매 진료마다 그 동안 느꼈던 불편했던 점을 경청하고 그에 대한 설명, 해결방안 제시

    2. 교정단계별 정기적인 중간점검과 상담

    3. 치료에 대한 환자의 이해를 높이는 동시에 궁금증을 해소

  • 04

    교정 후

    1. 결과에 대해 솔직한 피드백 및 추후 관리에 대한 상세한 설명

    2. 교정 후 정기적인 검진, 유지장치 조절 등 상세한 1:1관리

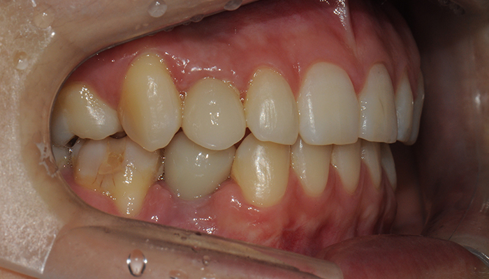
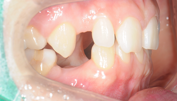
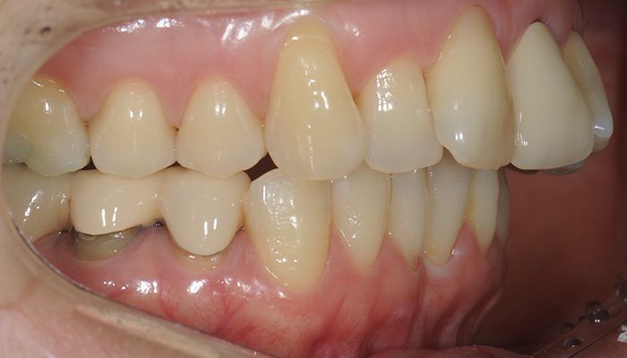
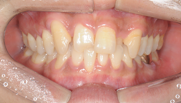
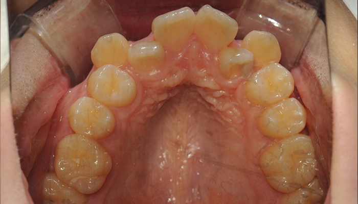
03

연세유앤아이 치아분석

치아는 가지런한 배열 못지 않게, 비율 역시 중요합니다.
  • 정면에서 봤을 때 심미적으로 느껴지는 치아 폭의 비율은 '1.0:0.62:0.38:0.24' 정도 입니다.

  • 치아의 이상적인 황금비율

    정중앙의 앞니의 비율이 100%라면 그 옆에 있는 앞니는 정중앙 앞니의 62%, 그 이후의 치아는 바로 전 치아의 62%가 됩니다. 이는 수학의 '황금비율(golden ratio)'과도 일치합니다.

  • 가로:세로 비교해보았을 때, 위쪽 정중앙 앞니의 이상적인 크기는 가로길이가 세로길이의 80% 정도를 차지합니다. 예를 들어 앞니의 세로길이가 11mm라면, 앞니 가로길이는 8.8mm 정도여야 가장 심미적으로 보일 수 있습니다.

04

WHY? 연세유앤아이인가?

개인별 특징에 맞게 진단하여 환자 개인과 가장 잘 어울리는 치료방법을 제시합니다.
  • 믿을 수 있는 진료진

    연세유앤아이의 의료진은 환자 한 분 한 분에게 책임감을 가지고 진료합니다.

  • 첨단장비

    디지털 전문진료 장비를 통해 보다 정확한 진단을 하여 이상적인 결과를 만들어 냅니다.

  • 보증제도

    교정이 끝난 후 체계적으로 오래 건강하게 유지할 수 있도록 정기검진을 통해 관리해 드립니다.

05

연세유앤아이 치아교정 프로세스

치아가 올바른 자리로 바로 잡을 때 까지 치아교정 프로세스를 반복합니다.
  • 01
    접수
  • 02
    X-ray 촬영
  • 03
    상담
  • 04
    정밀검사
  • 05
    본뜨기
  • 06
    교합채득
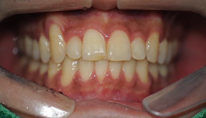
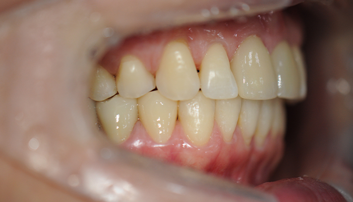
06

얼굴 윤곽의 개선까지 고려하는 치아교정

여러가지 골격적 부조화를 치아의 위치와 각도 뿐만 아니라 치아의 뿌리가 있는 잇몸뼈의 변화를 통해 바로잡아 입술, 턱 심지어 코의 모양과 느낌까지 변화되는 전반적인 얼굴 모습의 심미적인 개선을 이루어내는 치료입니다.
연세유앤아이의 특별한 치아교정은 치아의 배열뿐만이 아니라
하안면 전체의 윤곽까지 고려하여 아름다운 미소를 되찾아 드립니다.
07

전문적인 조치

교정치료 중 철사 찔림. 브라켓탈락 등의 응급상황이 생겼을때, 제대로 된 조치를 받기 어려울 수 있습니다. 연세유앤아이는 4인 의료진 분과별 협진으로 어떠한 응급상황도 신속히 대처해 드립니다.
08

전문적인 교육

사소하지만 중요한 구강위생교육 전담 치위생사가 꼼꼼하게 진행합니다.

가지러한 치열만큼, 치아건강도 중요하니까요. 전담치위생사를 통해 교정장치 부착 후 전용 칫솔 사용 방법, 치면 관리방법등 전문적인 구강위생관리 교육을 실시하고 있습니다.

안 아프고 편안한 연세유앤아이치과

문의 및 상담전화

02.3662.2877

  • 진료안내

    월요일 AM 10:00 - PM 09:00 (야간진료)
    화·수·목·금 AM 10:00 - PM 07:00
    점심시간 PM 01:00 - PM 02:30
    토요일 AM 10:00 - PM 02:00
    • 토요일은 점심시간 없이 진료합니다.
    • 일요일 및 공휴일은 휴진입니다.