×
개인정보 취급방침
개인정보 처리방침에 대한 내용을 입력하십시오.
×
이용약관
서비스 이용약관에 대한 내용을 입력하십시오.
치과 소개
대표원장 인사말
의료진 소개
병원 둘러보기
진료시간/오시는 길
치과 특장점
분과별 전문의
대형병원급 최신식 시설
무섭지 않은 치과
자체보증프로그램을 통한 사후관리
지역사회와 상생하는 착한치과
임플란트
임플란트 특별함
수면 임플란트
디지탈 가이드 임플란트
원데이 임플란트
뼈이식 임플란트
상악동 거상술
틀니 임플란트
최소 임플란트 전악보철
치아교정
치아교정 특별함
나이별 치아교정
증상별 치아교정
클리피씨 교정
투명 교정
이지핏교정
소아교정
유니커버
라미네이트
올세라믹 크라운
치아미백
일반치료
자연치아 살리기
충치치료
신경/근관치료
스케일링
치주치료
사랑니 발치
보톡스/이갈이
골융기 절제술
KakaoTalk ID : 연세유앤아이치과의원
Tel. 02.3662.2877
Address. 서울특별시 강서구 마곡동로4길 23 더 퍼스트스테이 호텔(구. 루체브릿지) 3층
로그인
치과 소개
대표원장 인사말
의료진 소개
병원 둘러보기
진료시간/오시는 길
치과 특장점
분과별 전문의
대형병원급 최신식 시설
무섭지 않은 치과
자체보증프로그램을 통한 사후관리
지역사회와 상생하는 착한치과
임플란트
임플란트 특별함
수면 임플란트
디지탈 가이드 임플란트
원데이 임플란트
뼈이식 임플란트
상악동 거상술
틀니 임플란트
최소 임플란트 전악보철
치아교정
치아교정 특별함
나이별 치아교정
증상별 치아교정
클리피씨 교정
투명 교정
이지핏교정
소아교정
유니커버
라미네이트
올세라믹 크라운
치아미백
일반치료
자연치아 살리기
충치치료
신경/근관치료
스케일링
치주치료
사랑니 발치
보톡스/이갈이
골융기 절제술
유니커버
유니커버
치과 소개
치과 특장점
임플란트
치아교정
심미치료
일반치료
라미네이트
라미네이트
올세라믹 크라운
치아미백
YONSEI YOU&I DENTAL CLINIC
라미네이트
나에게 딱 맞춘
라미네이트
기성품, 레디 메이드와 달리 나에게 딱 맞춰 제작 되는 유니커버
1:1맞춤 디자인으로 내가 원하던 대로 색상, 크기, 디자인 등을 커버해 드립니다.
유니커버란?
치아가 손상된 부분에 연세유앤아이만의 유니크한 기술을 통해
치아를 불필요하게 삭제하거나 치아 건강을 해치지 않고
1:1맞춤으로 제작 된 자연치아와 유사한 세라믹코팅필름을 입혀
자연스럽고 아름다운치아를 복원
하는 치료입니다.
“ 잃어버렸던 미소를 되찾아 드리겠습니다. ”
기성품, 레디 메이트와 달리
나에게 딱 맞춰 제작
되는 유니커버,
색상, 디자인, 크기 등을 니즈에 맞게 1:1 맞춤 디자인으로 내가 원하는대로
"맞춤형" 라미네이트"
로 커버해 드립니다.
삐뚤어진 앞니
왜소치아
벌어진 치아
깨진 치아
변색 된 치아
돌출된 입
단순히 가격만 높다고 명품이 되진 않습니다.
자연치아에 손상을 가하지 않으면서,
나에게 딱 맞춘 메이저 투 메이드 (Measure To Made) 제작으로
치아의 가장 이상적인 디자인을 찾아내는 것이
유니커버의 핵심 가치입니다.
내 얼굴과 가장 잘 어울리는
유니커버 치아 디자인
가장 아름다운 치아는 자연스러운 치아입니다.
1:1 디자인으로 오직 한 사람을 위해 제작합니다.
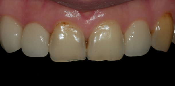
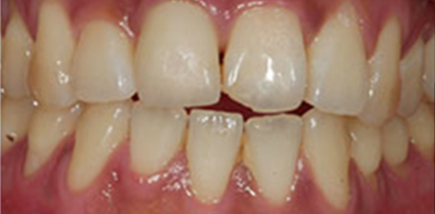
Case1
20대 여성
→
BEFORE
앞니 벌어짐
UNICOVER FOR LADY
로그인 후 이용해주세요
시술 1주일 후
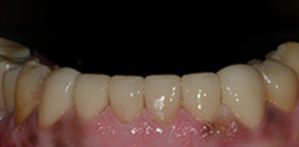
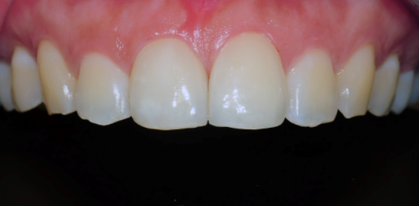
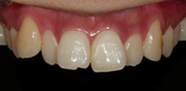
Case2
30대 여성
→
BEFORE
치아형태개선 및 충치치료
UNICOVER FOR LADY
로그인 후 이용해주세요
시술 1주일 후
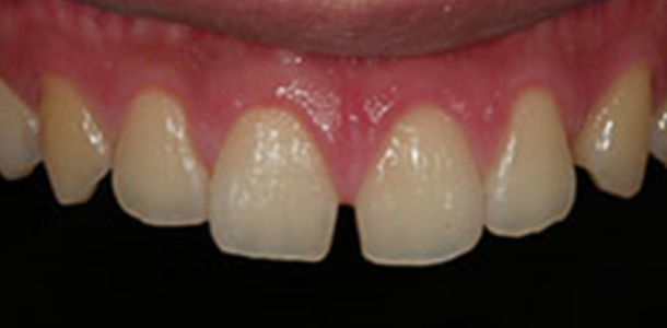
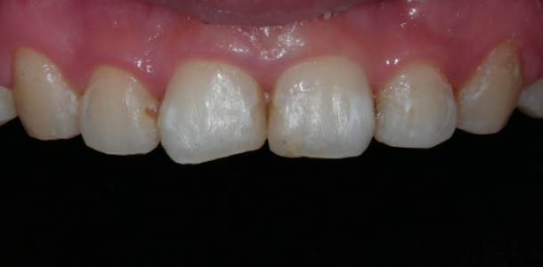
Case3
20대 여성
→
BEFORE
치아부식 및 착색
UNICOVER FOR LADY
로그인 후 이용해주세요
시술 1주일 후
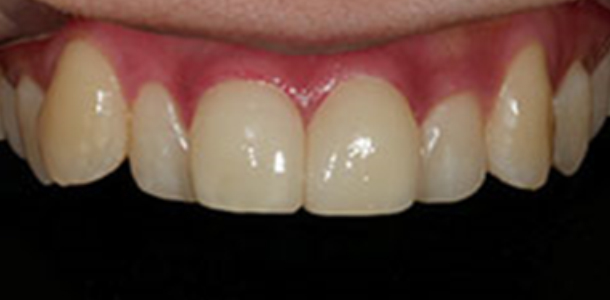
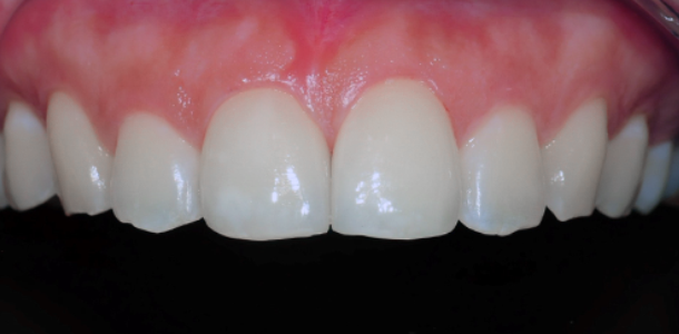
Case4
20대 여성
→
BEFORE
치아부식 및 착색
UNICOVER FOR LADY
로그인 후 이용해주세요
시술 1주일 후
Case5
20대 여성
→
BEFORE
치아부식 및 착색
UNICOVER FOR LADY
로그인 후 이용해주세요
시술 1주일 후
Case6
20대 여성
→
BEFORE
치아부식 및 착색
UNICOVER FOR LADY
로그인 후 이용해주세요
시술 1주일 후
Case7
20대 여성
→
BEFORE
치아부식 및 착색
UNICOVER FOR LADY
로그인 후 이용해주세요
시술 1주일 후
“ 자연스러운 치아가 가장 아름다운 치아입니다. ”
자연치아와 가장 유사하게
연세유앤아이치과의 라미네이트 유니커버는
자연치아와 가장 유사한 색상과 강도로 제작하기에
원래 내 치아처럼 사용이 가능합니다.
01
보건복지부 인증 분과별 전문의 진료
02
쾌적한 시설과 장비 보유
03
아프지 않은 치료 노하우
04
고난이도 수술 전문 치과
01
보건복지부 인증
분과별 전문의 진료
치과보철과, 치과보존과, 치과교정과, 통합치의학과 등 보건복지부 인증을 받은
전문 의료진들이 진료하여 각 분야 협진을 통해 치료합니다.
02
서울대학교
치과대학 동문병원
서울대학교 치과병원의 시스템과 노하우를 그대로,
서울대 출신의 전문 의료진들이 협진을 통한 진료를 시행합니다.
03
대형병원급 시설과
최첨단 장비 보유
최첨단 3D 프린터(ONEJET)를 통한 한 치의 오차 없는
맞춤 보철물로 100%의 수술이 가능합니다.
04
아프지 않은
최소 통증 노하우
무통 마취기(NO PAIN)를 통한 최소 통증 마취와 수많은 임상경험을 바탕으로
한 의료진의 노하우로 아프지 않은 치료가 가능합니다.
01
보건복지부 인증
분과별 전문의 진료
보건복지부 인증 분과별 전문의가 상주하여,
보다 전문적인 진료를 받아보실 수 있습니다.
02
쾌적한
시설과 장비 보유
세밀한 진단과 치료를 위한 첨단 장비와
편안하고 깨끗한 시설로
검진과 진료가 가능합니다.
03
아프지 않은
치료 노하우
통증이 두려운 환자 입장을 고려하여
편안하고 아프지 않은 진료를 위해 노력합니다.
04
고난이도 수술
전문 치과
오랜 노하우를 바탕으로 진단부터 수술,
사후관리까지 전문의가 책임지고 진료합니다.
안 아프고 편안한 연세유앤아이치과
상담 및 예약 바로가기
+
문의 및 상담전화
02.3662.2877
진료안내
월요일
AM 10:00 - PM 09:00 (야간진료)
화·수·목·금
AM 10:00 - PM 07:00
점심시간
PM 01:00 - PM 02:30
토요일
AM 10:00 - PM 02:00
※
토요일은 점심시간 없이 진료합니다.
※
일요일 및 공휴일은 휴진입니다.